Skip to main navigation Skip to main content
  • KSCN
  • E-Submission

CNR : Clinical Nutrition Research

OPEN ACCESS
ABOUT
BROWSE ARTICLES
EDITORIAL POLICIES
FOR CONTRIBUTORS

Articles

Original Article

Hypouricemic Effect of Ethanol Extract of Aster glehni Leaves in Potassium Oxonate-Induced Hyperuricemic Rats

Clinical Nutrition Research 2018;7(2):126-135.
Published online: April 24, 2018

1Department of Public Health Science (Brain Korea 21 PLUS Program), Graduate School, Korea University, Seoul 02841, Korea.

2Department of Integrated Biomedical and Life Sciences, Graduate School, Korea University, Seoul, 02841, Korea.

3Research and Development Center, Milae Resources ML Co. Ltd., Seoul 05542, Korea.

4Department of R&D, Koreaeundan Co., Seongnam 06105, Korea.

5Bioland Co. Ltd., Ansan 15407, Korea.

6Department of Laboratory Medicine, Korea University Guro Hospital, Seoul 08308, Korea.

Correspondence to Young-Hee Lim. Department of Public Health Science (Brain Korea 21 PLUS Program), Graduate School, Korea University, 145 Anam-ro, Seongbuk-gu, Seoul 02841, Korea. yhlim@korea.ac.kr
• Received: March 31, 2018   • Revised: April 16, 2018   • Accepted: April 16, 2018

Copyright © 2018. The Korean Society of Clinical Nutrition

This is an Open Access article distributed under the terms of the Creative Commons Attribution Non-Commercial License (https://creativecommons.org/licenses/by-nc/4.0/) which permits unrestricted non-commercial use, distribution, and reproduction in any medium, provided the original work is properly cited.

  • 644 Views
  • 2 Download
  • 24 Crossref
prev next
  • The prevalence of gout is increasing worldwide, and control of serum uric acid level has been regarded as one of the therapeutic methods for gout. Inhibition of xanthine oxidase (XO) activity which can oxidize hypoxanthine to uric acid has been commonly proposed to decrease serum uric acid level. The aim of this study was to demonstrate the hypouricemic effect of ethanol extract of Aster glehni leaves (EAG) by in vitro and in vivo study in potassium oxonate (PO)-induced hyperuricemic rats. EAG possessed 132.5 ± 6.8 mg QE/g of total flavonoid and showed antioxidant activity. EAG showed in vitro and in vivo inhibitory activity against XO and significantly decreased serum uric acid level in PO-induced hyperuricemic rats without liver toxicity. These results show that EAG significantly attenuates hyperuricemia by inhibiting XO activity, which resulted in the decrease of serum uric acid level. Therefore, EAG might possess a potential therapeutic ability for improving gout.
Hyperuricemia is characterized by a high level of uric acid in the blood. The crystallization of uric acid is considered as a key risk factor for the development of gout [1]. Epidemiological studies from different countries have shown that the prevalence of gout is increasing worldwide [2, 3]. Increased level of uric acid not only causes gout but also leads to the development of various diseases such as cardiovascular disorders, obesity, diabetes, and renal disease [4]. It is widely accepted that control of serum uric acid level might play an important role in the prevention and treatment of those diseases. For this reason, development of drugs or agents capable of decreasing the level of uric acid is obviously needed to control those diseases.
Xanthine oxidase (XO) mainly present in liver and intestine can oxidize hypoxanthine to xanthine and xanthine to uric acid. Inhibition of XO is commonly proposed to treat hyperuricemia by decreasing uric acid level. Allopurinol is widely used as a therapeutic agent for hyperuricemia because of its ability to inhibit XO activity. However, it has some side effects such as allergy, hypersensitivity reactions, and nephropathy [5]. A number of attempts have been made to find effective compounds that inhibit XO without side effects from traditional medicines and plants. Potential therapeutic agents for treating gout have been reported from soy sauce [6], Phyllanthus niruri methanol extract and lignans isolated from P. niruri [7], phytochemicals from Tradescantia albiflora Kunth extracts including bracteanolide A and butenolide [8], and astilbin [9].
Aster glehni, grown in Ulleung Island, Korea, has been used as food and traditional medicine in Korea. It has been reported that A. glehni shows beneficial effects on hypercholesterolemia, diabetes mellitus, cardiovascular disease, sedative effects, and insomnia [10]. A. glehni has been approved as a safe food source by Ministry of Food and Drug Safety in Korea. In this study, we prepared an ethanol extract of A. glehni leaves (EAG) and tested its effects on hyperuricemia in vitro and in vivo. To assess the hypouricemic effect in vivo, we used potassium oxonate (PO)-induced hyperuricemia in a rat model, in which hyperuricemia is induced by oral administration of PO (250 mg/kg, b.w.).
Chemicals and reagents
Xanthine, XO from microbial, allopurinol, aluminum chloride, Folin-Ciocalteau reagent, quercetin, gallic acid, 2,2-diphenyl-1-picrylhydrazyl (DPPH), and PO were purchased from Sigma-Aldrich (St. Louis, MO, USA). Dimethyl sulfoxide (DMSO) was purchased from Daejung Chemicals & Materials CO., Ltd. (Siheung, Korea). Sodium chloride was purchased from Duksan (Ansan, Korea).
Preparation of the EAG
Leaves of A. glehni were collected from Ulleung Island and dried naturally. The dried leaves were pulverized. The pulverized sample (2 kg) was extracted with 25 L of 70% ethanol in a fermenter (KFC-30L; Korea Fermentor, Incheon, Korea) at 80°C for 4 hours while stirring at 150 rpm. After collecting 1st extract, 20 L of 70% ethanol was added into the fermenter. The sample in the fermenter was extracted again at 80°C for 2 hours, thus 2nd extract was collected. Perlite was added into 1st and 2nd extracts to be the final concentration of 15%. The extracts were filtered by a filter press (pore size 20 mm). The filtrates were combined and concentrated to 20 Brix by a concentrator (R10028; Dooyoung Hi-Tech, Seoul, Korea). After adding the same amount of dextrin into the concentrate, it was sterilized by an autoclave (AC-03; Jeio Tech, Seoul, Korea) at 95°C for 1 hour. After sterilization, the concentrate was spray dried. The spray dried sample was filtered through a 60-mesh sieve and the test material was prepared. The EAG used in this study was deposited in department of R&D, Koreaeundan Co. (Seongnam, Korea). 3,5-Dicaffeoylquinic acid (3,5-DCQA), a marker compound, was analyzed by high performance liquid chromatography (HPLC) (Agilent 1100 series, Agilent G1365B multiple wavelength detector [MWD]; Agilent, Santa Clara, CA, USA) at 330 nm. The analysis was performed on Kromasil 100-5-C18 column (250 × 4.6 mm, 5 µm) with flow rate at 1.4 mL/min. The mobile phase was phosphoric acid and distilled water (0.5:99.5, v/v). Standard 3,5-DCQA was purchased from Sigma-Aldrich. EAG used in this study contained 0.04% of 3,5-DCQA (data not shown).
Analysis of total phenolic content (TPC)
The TPC of EAG was determined using the method described previously [11] with some modifications. To a 96-well plate, 25 μL of test sample and 75 μL of 10% Folin-Ciocalteau reagent were added and left for 5 minutes at room temperature. After 5 minutes, 100 μL of 7.5% sodium carbonate was added and incubated for 60 minutes in the dark with shaking. Following incubation for 60 minutes, the absorbance was measured at 725 nm using a microplate reader (VersaMax; Molecular Devices, Sunnyvale, CA, USA). The TPC was calculated as gallic acid equivalents (GAEs). All the determinations were carried out 3 times.
Analysis of total flavonoid content (TFC)
The TFC of EAG was determined using the aluminum chloride assay described previously [12] with some modifications. To a 96-well plate, 40 μL of the test sample and 60 μL of 5% AlCl3 solution were added and incubated for 30 minutes at room temperature. After 30 minutes, the absorbance was measured at 437 nm using a microplate reader (VersaMax; Molecular Devices). The TPC was calculated as quercetin equivalents (QEs). All the determinations were carried out 3 times.
DPPH free radical scavenging assay
For quantitative measurement of free radical scavenging activity of EAG, DPPH radical assay was carried out according to the method described previously [13]. Briefly, a stock solution (50 mg/mL) of EAG and a working solution of DPPH (250 μM) were freshly prepared and diluted with methanol. Several concentrations of EAG (50 μL) were loaded on a 96-well plate. And then, 150 μL of working solution was added to each well. After incubation for 10 min, absorbance was measured using SpectraMax 340PC384 microplate spectrophotometer (Molecular Devices) at 517 nm. Trolox was used as a positive control, and the 50% inhibitory concentration (IC50) was calculated.
XO inhibitory assay
The inhibitory effect of EAG on XO activity in vitro was determined using a spectrophotometric method [14, 15] with some modifications. Phosphate buffer (50 mM, pH 7.4) was used to dilute all materials in this assay. Briefly, the test solution and freshly prepared XO (0.02 U/mL) were incubated at 37°C for 15 minutes. After 15 minutes, xanthine (120 μM) was added to initiate the enzymatic reaction and the mixture was incubated at 37°C for 40 minutes. The reaction was terminated by the addition of 1N HCl solution, and the absorbance of each mixture was measured at 295 nm using a DeNovix DS-11 Spectrophotometer (DeNovix, Wilmington, NC, USA). Allopurinol was used as a positive control. XO inhibitory activity was shown as the percentage inhibition of XO compared with the mixture with xanthine and XO only. The degree of XO inhibition was calculated by following formula:
% Inhibition=[AcAsAc]×100
where Ac, absorbance of the control; As, absorbance of the sample.
Animals
Male Sprague-Dawley rats (SD rats, 6–8 weeks old, 180–220 g, n = 36) were obtained from Koatech (Pyeongtaek, Korea). All animals had free access to water and were provided a normal diet (Purina Irradiated Laboratory Chow 38057; Purina Korea, Seoul, Korea). The temperature and humidity were kept at 24°C ± 1°C and 55%, respectively and light was controlled for 12 hours light and 12 hours dark. All experimental procedures were approved by the Korea University Institutional Animal Care and Use Committee (approval No. KUIACUC-2016-99) and performed in accordance with the Guide for the Care and Use of Laboratory Animals (National Institutes of Health [NIH] publication No. 85-23, 1996).
Experimental design
A PO-induced hyperuricemic rat model was used to evaluate attenuation effect of EAG [16, 17]. Thirty-six rats were randomly divided into 6 groups. EAG and allopurinol were dissolved in a mixture of de-ionized water and DMSO (9:1). PO was used to induce hyperuricemia in rats. Group I was treated with the mixture of de-ionized water and DMSO alone, served as a normal control; group II was treated with PO (250 mg/kg b.w.) alone, served as a model group; group III was treated with allopurinol (50 mg/kg b.w.) and PO, served as a positive control. Group IV, V, and VI were treated with EAG at doses of 50, 100, and 200 mg/kg b.w., respectively and PO. All groups were orally administered once a day for 7 days. On the 1st, 3rd, and 7th days of the experiment period, PO (250 mg/kg b.w.) was injected intraperitoneally one hour before the administration of EAG or allopurinol to the animals except the normal control group to increase serum uric acid level. On the 7th day of the experiment, 2 hours after the final administration, all groups were anesthetized and sacrificed to obtain blood and liver. Parts of the livers were preserved in 10% formaldehyde, and the rest parts were kept at −80°C until use. The blood was allowed to clot for approximately 1 hour at room temperature and then centrifuged at 3,000× g for 5 minutes at 4°C to collect the serum. Serum chemical analysis was performed using a FUJI DRI-CHEM 4000i instrument and reagents (Fujifilm Co., Tokyo, Japan).
Preparation of liver homogenate and assay of XO activity in rat liver
Rats were monitored daily for weight change and any signs of diseases. On the final day of the experiment, animals were sacrificed and the livers were excised and stored at −80°C until used. The liver was washed in cold KCl (1.15%, w/v) containing 0.1 mM ethylenediaminetetraacetic acid. Chopped liver was put into 3 volumes of 50 mM phosphate buffer (pH 7.4) and homogenized. The homogenate was then centrifuged at 3,000× g for 10 minutes at 4°C. The lipid layer was carefully removed and the resulting supernatant was further centrifuged at 10,000× g for 60 minutes at 4°C. The supernatant was used for the assay of XO activity. The assay of XO activity in rat liver was determined using the same method described above with the supernatant obtained from the liver. Serum uric acid level was evaluated by using uric acid standard curve. The liver XO activity was expressed as nmol uric acid/mg protein/min. Protein concentration was quantified by Bradford assay [18].
Histological study
For histological study, each liver was sectioned, washed in ice-cold saline, fixed in the 10% formalin, and embedded in paraffin. Sections were cut at a thickness of 5 μm and were stained with haematoxylin and eosin (H & E) and observed using an optical microscope for histological changes.
Statistical analysis
The statistical analysis was performed using one-way analysis of the variance (ANOVA) followed by Fisher's least significant difference post hoc test using Statistical Package for the Social Science (SPSS) software package version 22.0 (SPSS Inc., Chicago, IL, USA). All data were expressed as mean ± standard deviation from at least three independent experiments, and p value of < 0.05 was considered as significant.
Quantification of total phenols and flavonoids in EAG
Phenolic, flavonoids, and carotenoids are abundant in plants extracts. As there was no information about the defined effective components of A. glehni for improving hyperuricemia, phenolic and flavonoid contents were measured. TPC and TFC were expressed in milligrams of gallic acid equivalents per gram of EAG (mg GAE/g) and milligrams of quercetin equivalents per gram of EAG (mg QE/g). TPC and TFC in EAG were 110.7 ± 7.7 mg GAE/g and 132.5 ± 6.8 mg QE/g, respectively (Table 1).
Table 1

Quantification of total phenolic and flavonoid contents in EAG

Table 1
Total phenolic content, mg GAE/g Total flavonoid content, mg QE/g
110.7 ± 7.7 132.5 ± 6.8
Data are the mean ± standard deviation of 3 separate experiments.
EAG, ethanol extract of Aster glehni leaves; mg GAE/g, milligrams of gallic acid equivalents per gram of EAG; mg QE/g, milligrams of quercetin equivalents per gram of EAG.
Free radical scavenging activity of EAG
The antioxidant activity of plant extracts has been decided by their free radical scavenging activities [19]. To investigate free radical scavenging effect of EAG, DPPH method was used. Trolox, a well-known radical scavenging compound, was used as a positive control. The IC50 values of Trolox and EAG were 31.2 ± 3.3 μg/mL and 150.6 ± 4.4 μg/mL, respectively (Table 2). Flavonoids show antioxidant activity due to their ability to decrease free radical formation [20]. Although free radical scavenging activity of EAG was lower than Trolox, EAG showed free radical scavenging ability, indicating that EAG possesses antioxidant activity.
Table 2

Free radical scavenging activities of EAG and Trolox by DPPH assay

Table 2
Sample IC50, µg/mL
Trolox 31.2 ± 3.3
EAG 150.6 ± 4.4
Data represent mean ± standard deviation.
EAG, ethanol extract of Aster glehni leaves; DPPH, 2,2-diphenyl-1-picrylhydrazyl; IC50, 50% inhibitory concentration.
Inhibitory activity of EAG on XO activity in vitro
To demonstrate the inhibitory effect of EAG on uric acid production, XO assay was performed. Allopurinol, which is known as a XO inhibitor, was used as a positive control. The IC50 value, the concentration that can decrease enzyme activity by 50%, was calculated. The IC50 values of EAG and allopurinol against XO were 97.2 ± 5.0 μg/mL and 45.4 ± 8.0 µg/mL, respectively (Table 3). Although the inhibitory activity of EAG against XO showed a half of allopurinol, EAG might be used as a XO inhibitor to decrease serum uric acid level.
Table 3

Inhibitory effect of EAG on XO activity in vitro

Table 3
Sample IC50
Allopurinol, µM 45.4 ± 8.0
EAG, µg/mL 97.2 ± 5.0
Data represent mean ± standard deviation.
EAG, ethanol extract of Aster glehni leaves; XO, xanthine oxidase; IC50, 50% inhibitory concentration.
Body weight and liver histology in PO-induced hyperuricemia rats
The body weights (g) on the last day of the experiment were measured and the results showed no significant difference between the experimental groups and did not show any significant signs of diseases (Table 4). Natural compounds might produce toxic substances as secondary metabolites which could give damage to liver [21]. When liver is damaged, glutamic oxaloacetic transaminase (GOT) and glutamic pyruvic transaminase (GPT) are released into the blood resulted in the increase of levels of GOT and GPT in blood [22]. To evaluate hepatotoxic effect of EAG, GOT, and GPT levels were measured and H & E staining was performed. Oral administration of EAG at doses of 50, 100, and 200 mg/kg b.w. for 7 days did not significantly affect levels of serum GOT and GPT (Table 4).
Table 4

Average body weights and levels of serum biochemical parameters (GOT, GPT, and BUN) in PO-induced hyperuricemic rats treated with EAG

Table 4
Treatment Average body weight, g Serum levels
GOT, U/L GPT, U/L BUN, mg/dL
Normal control 227.8 ± 3.6 154.5 ± 30.6 41.3 ± 5.3 14.1 ± 6.3
Normal control + PO 227.0 ± 2.9 146.3 ± 21.0 38.3 ± 5.3 11.2 ±4.9
Allopurinol (50 mg/kg b.w.) + PO 228.8 ± 6.2 103.5 ± 14.4 34.5 ± 1.0 12.9 ± 5.7
EAG (50 mg/kg b.w.) + PO 224.0 ± 4.7 140.7 ± 15.1 44.3 ± 6.1 13.0 ± 5.7
EAG (100 mg/kg b.w.) + PO 231.0 ± 4.1 88.5 ± 10.4 37.8 ± 4.7 12.0 ± 5.0
EAG (200 mg/kg b.w.) + PO 210.3 ± 21.6 87.5 ± 17.8 32.8 ± 7.4 11.8 ± 4.4
Data represent mean ± standard deviation.
GOT, glutamic oxaloacetic transaminase; GPT, glutamic pyruvic transaminase; BUN, blood urea nitrogen; PO, potassium oxonate (250 mg/kg b.w.); EAG, ethanol extract of Aster glehni leaves; DPPH, 2,2-diphenyl-1-picrylhydrazyl; IC50, 50% inhibitory concentration.
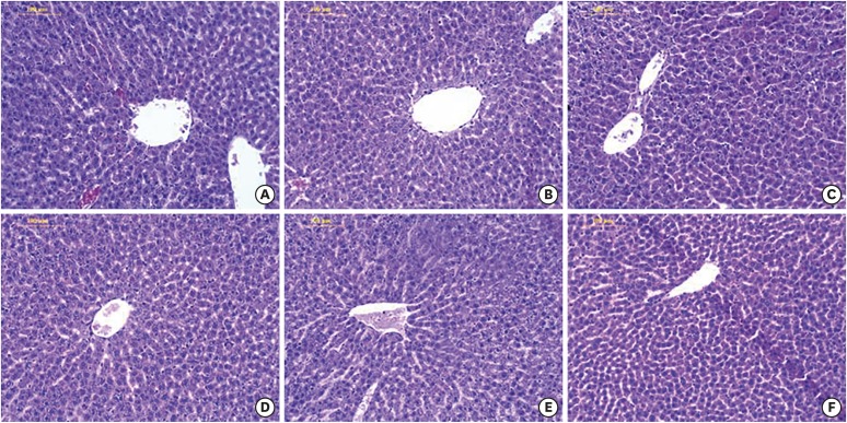
For histological examination of liver sections, H & E staining was performed. Microscopic observation by H & E staining showed no significant changes in liver sections of rats treated with PO or PO and EAG (Figure 1). The results suggest that there was no hepatotoxic effect of EAG within the concentrations used in this study.
Figure 1
Effect of EAG on liver histology in PO-induced hyperuricemic rats. (A) Normal group, (B) hyperuricemia group induced by PO (250 mg/kg b.w.), (C) allopurinol (50 mg/kg b.w.) + PO, (D) EAG (50 mg/kg b.w.) + PO, (E) EAG (100 mg/kg b.w.) + PO, (F) EAG (200 mg/kg b.w.) + PO. All images were captured at 100× magnification.
EAG, ethanol extract of Aster glehni leaves; PO, potassium oxonate.
cnr-7-126-g001.jpg
Hypouricemic effect of EAG in hyperuricemic rats
In animal study, to investigate the hypouricemic effect of EAG, PO was used to increase serum uric acid level. In control rats, serum uric acid level was 2.38 ± 0.49 mg/dL (Figure 2). In hyperuricemic induced rats, serum uric acid level significantly increased (4.10 ± 0.48 mg/dL), which means that PO successfully induced hyperuricemia in rats. Serum uric acid levels in rats treated with allopurinol (50 mg/kg b.w.) and EAG at doses of 50, 100, and 200 mg/kg b.w. were 0.50 ± 0.08 mg/dL, 3.53 ± 0.39 mg/dL, 3.00 ± 0.74 mg/dL, and 3.15 ± 0.39 mg/dL, respectively. The results showed that serum uric acid levels in rats treated with allopurinol and EAG (100 and 200 mg/kg b.w.) significantly decreased compared with the model group. Although EAG (50 mg/kg b.w.)-treated group decreased serum uric acid level, it did not significantly decrease compared with the model group. These results show that EAG has potential hypouricemic effect.
Figure 2
Effect of EAG on serum uric acid levels in PO-induced hyperuricemic rats. Data represent mean ± standard deviation of 3 independent experiments performed in triplicate.
EAG, ethanol extract of Aster glehni leaves; PO, potassium oxonate.
*,†,‡,§Values not sharing a common superscript vary significantly (p < 0.05) from each other.
cnr-7-126-g002.jpg
Liver XO activity in PO-induced hyperuricemic rat
To confirm the hypouricemic effect of EAG, XO activity was measured with liver homogenate. Liver XO activity in PO-induced hyperuricemic rats treated with allopurinol (15.5 ± 0.6 nmol uric acid/mg protein/min) significantly decreased compared with the XO activity in PO-induced hyperuricemic model rats (28.1 ± 3.4 nmol uric acid/mg protein/min) (Table 5). Liver XO activities in PO-induced hyperuricemic rats treated with EAG (50, 100, and 200 mg/kg b.w.) were 20.6 ± 3.6, 20.0 ± 4.5, and 17.2 ± 2.7 nmol uric acid/mg protein/min, respectively, which show a significant decrease in liver XO activity compared with the model group. The results consisted with the inhibitory activity of EAG against XO in vitro.
Table 5

Effect of EAG and allopurinol on liver XO activity in PO-induced hyperuricemic rats

Table 5
Treatment Liver XO, nmol uric acid/mg protein/min
Normal control 23.1 ± 2.3*
Normal control + PO 28.1 ± 3.4
Allopurinol (50 mg/kg b.w.) + PO 15.5 ± 0.6
EAG (50 mg/kg b.w.) + PO 20.6 ± 3.6§
EAG (100 mg/kg b.w.) + PO 20.0 ± 4.5§
EAG (200 mg/kg b.w.) + PO 17.2 ± 2.7
Data represent mean ± standard deviation.
EAG, ethanol extract of Aster glehni leaves; XO, xanthine oxidase; PO, potassium oxonate (250 mg/kg b.w.).
*,†,‡,§,∥Values not sharing a common superscript vary significantly (p < 0.05) from each other.
Uric acid is formed as a byproduct in the process of protein digestion; especially it is derived from purine metabolism. Normally, uric acid is excreted by the kidney; however, if it is not fully cleared through urinary system because of renal dysfunction, excess uric acid is deposited in the joints and kidney, which results in the development of gout. Gout is a common disease worldwide and it is caused by excess deposition of urate crystal in the joint and kidney.
Recent studies have revealed the mechanism of hyperuricemia, which leads to the development of gout treatment. Interleukin-1 (IL-1) blockers have been developed to treat gout caused by the deposition of monosodium urate crystal [23]. New drugs targeted to renal urate transporters have been tried to lower serum uric acid level [24]. Notably XO inhibitors, for instance, allopurinol and febuxostat have been developed for the long-term treatment of gout [25]. Therefore, XO inhibitors might be good candidates for treatment of gout by decreasing uric acid level. The leaves of A. glehni have been used as food and traditional medicine in Korea. As it is approved as food sources in Korea, A. glehni is regarded as a relatively non-toxic material from which to develop functional food and medicine. In this study, we found that A. glehni leaves contain a high level of flavonoids and show a strong inhibitory activity against XO. The 3,5-DCQA methyl ester and 4,5-DCQA methyl ester from purified A. glehni leaves in ethyl acetate soluble fraction showed the most potent XO inhibitory activity [26]. The XO inhibitory activity of those compounds was comparable to that of allopurinol, a well-known positive control as a XO inhibitor. EAG used in this study contained a low amount of 3,5-DCQA (0.04%); therefore, it is unclear that 3,5-DCQA in EAG acts as an effective compound on its inhibitory activity against XO. In further study, effective compound(s) of EAG must be identified for applying EAG to improve hyperuricemia.
XO produces reactive oxygen species (ROS) by transferring electrons to oxygen from hypoxanthine and xanthine to generate H2O2, which means that antioxidants might be effective in preventing hyperuricemia by inhibiting XO activity. Oxidative stress in uremia is the consequence of higher ROS production and XO is one of the main factors to create excessive ROS [27]. EAG showed antioxidant activity and inhibited XO activity. These findings suggest that antioxidant activity might contribute to mechanism of action of EAG on hypouricemic effect in PO-induced hyperuricemic rats. Although antioxidants are very effective for treatment of diseases caused by excess ROS production in cells, a high-dose antioxidant showed negative effect in many clinical trials [28]. EAG showed moderate antioxidant activity compared with Trolox. Therefore, EAG could be a candidate of gout treatment, either alone or in combination with other gout treatments.
EAG inhibits XO activity in vitro and in vivo and decreases serum uric acid level in PO-induced hyperuricemic rats, indicating that EAG attenuates hyperuricemia by inhibiting XO activity. Histological analysis of liver tissues in PO-induced hyperuricemic rats indicates that EAG does not show any liver toxicity. Therefore, EAG could be used as a gout treatment.
Ministry of Agriculture, Food and Rural Affairshttp://dx.doi.org/10.13039/501100003624115005-3

Funding: This work was supported by Korea Institute of Planning and Evaluation for Technology in Food, Agriculture, Forestry and Fisheries (IPET) through High Value-added Food Technology Development Program, funded by Ministry of Agriculture, Food and Rural Affairs (MAFRA) (115005-3).

Conflict of Interest: The authors declare that they have no competing interests.

  • 1. Rock KL, Kataoka H, Lai JJ. Uric acid as a danger signal in gout and its comorbidities. Nat Rev Rheumatol 2013;9:13-23.
  • 2. Huang J, Wang S, Zhu M, Chen J, Zhu X. Effects of genistein, apigenin, quercetin, rutin and astilbin on serum uric acid levels and xanthine oxidase activities in normal and hyperuricemic mice. Food Chem Toxicol 2011;49:1943-1947.
  • 3. Perez-Ruiz F, Liote F. Lowering serum uric acid levels: what is the optimal target for improving clinical outcomes in gout? Arthritis Rheum 2007;57:1324-1328.
  • 4. Lin KC, Lin HY, Chou P. The interaction between uric acid level and other risk factors on the development of gout among asymptomatic hyperuricemic men in a prospective study. J Rheumatol 2000;27:1501-1505.
  • 5. Fels E, Sundy JS. Refractory gout: what is it and what to do about it? Curr Opin Rheumatol 2008;20:198-202.
  • 6. Li H, Zhao M, Su G, Lin L, Wang Y. Effect of soy sauce on serum uric acid levels in hyperuricemic rats and identification of flazin as a potent xanthine oxidase inhibitor. J Agric Food Chem 2016;64:4725-4734.
  • 7. Murugaiyah V, Chan KL. Mechanisms of antihyperuricemic effect of Phyllanthus niruri and its lignan constituents. J Ethnopharmacol 2009;124:233-239.
  • 8. Wang WL, Sheu SY, Huang WD, Chuang YL, Tseng HC, Hwang TS, Fu YT, Kuo YH, Yao CH, Kuo TF. Phytochemicals from tradescantia albiflora kunth extracts reduce serum uric acid levels in oxonate-induced rats. Pharmacogn Mag 2016;12:S223-S227.
  • 9. Wang M, Zhao J, Zhang N, Chen J. Astilbin improves potassium oxonate-induced hyperuricemia and kidney injury through regulating oxidative stress and inflammation response in mice. Biomed Pharmacother 2016;83:975-988.
  • 10. Lee HM, Yang G, Ahn TG, Kim MD, Nugroho A, Park HJ, Lee KT, Park W, An HJ. Antiadipogenic effects of Aster glehni extract: in vivo and in vitro effects. Evid Based Complement Alternat Med 2013;2013:859624.
  • 11. Samatha T, Shyamsundarachary R, Srinivas P, Swamy NR. Quantification of total phenolic and total flavonoid contents in extracts of Oroxylum indicum L.Kurz . Asian J Pharm Clin Res 2012;5:177-179.
  • 12. Pontis JA, Costa LA, Silva SJ, Flach A. Color, phenolic and flavonoid content, and antioxidant activity of honey from Roraima, Brazil. Food Sci Technol (Campinas) 2014;34:69-73.
  • 13. Liu LM, Cheng SF, Shieh PC, Lee JC, Chen JJ, Ho CT, Kuo SC, Kuo DH, Huang LJ, Way TD. The methanol extract of Euonymus laxiflorus, Rubia lanceolata and Gardenia jasminoides inhibits xanthine oxidase and reduce serum uric acid level in rats. Food Chem Toxicol 2014;70:179-184.
  • 14. Azmi SM, Jamal P, Amid A. Xanthine oxidase inhibitory activity from potential Malaysian medicinal plant as remedies for gout. Int Food Res J 2012;19:59-66.
  • 15. Liu K, Wang W, Guo BH, Gao H, Liu Y, Liu XH, Yao HL, Cheng K. Chemical evidence for potent xanthine oxidase inhibitory activity of ethyl acetate extract of Citrus aurantium L. dried immature fruits. Molecules 2016;21:302.
  • 16. Jang IT, Hyun SH, Shin JW, Lee YH, Ji JH, Lee JS. Characterization of an anti-gout xanthine oxidase inhibitor from Pleurotus ostreatus. Mycobiology 2014;42:296-300.
  • 17. Haidari F, Rashidi MR, Keshavarz SA, Mahboob SA, Eshraghian MR, Shahi MM. Effects of onion on serum uric acid levels and hepatic xanthine dehydrogenase/xanthine oxidase activities in hyperuricemic rats. Pak J Biol Sci 2008;11:1779-1784.
  • 18. Bradford MM. A rapid and sensitive method for the quantitation of microgram quantities of protein utilizing the principle of protein dye-binding. Anal Biochem 1976;72:248-254.
  • 19. Fukumoto LR, Mazza G. Assessing antioxidant and prooxidant activities of phenolic compounds. J Agric Food Chem 2000;48:3597-3604.
  • 20. Pietta PG. Flavonoids as antioxidants. J Nat Prod 2000;63:1035-1042.
  • 21. Calitz C, du Plessis L, Gouws C, Steyn D, Steenekamp J, Muller C, Hamman S. Herbal hepatotoxicity: current status, examples, and challenges. Expert Opin Drug Metab Toxicol 2015;11:1551-1565.
  • 22. Huang XJ, Choi YK, Im HS, Yarimaga O, Yoon E, Kim HS. Aspartate aminotransferase (AST/GOT) and alanine aminotransferase (ALT/GPT) detection techniques. Sensors (Basel) 2006;6:756-782.
  • 23. Martinon F, Pétrilli V, Mayor A, Tardivel A, Tschopp J. Gout-associated uric acid crystals activate the NALP3 inflammasome. Nature 2006;440:237-241.
  • 24. Vitart V, Rudan I, Hayward C, Gray NK, Floyd J, Palmer CN, Knott SA, Kolcic I, Polasek O, Graessler J, Wilson JF, Marinaki A, Riches PL, Shu X, Janicijevic B, Smolej-Narancic N, Gorgoni B, Morgan J, Campbell S, Biloglav Z, Barac-Lauc L, Pericic M, Klaric IM, Zgaga L, Skaric-Juric T, Wild SH, Richardson WA, Hohenstein P, Kimber CH, Tenesa A, Donnelly LA, Fairbanks LD, Aringer M, McKeigue PM, Ralston SH, Morris AD, Rudan P, Hastie ND, Campbell H, Wright AF. SLC2A9 is a newly identified urate transporter influencing serum urate concentration, urate excretion and gout. Nat Genet 2008;40:437-442.
  • 25. Becker MA, Schumacher HR, Wortmann RL, MacDonald PA, Eustace D, Palo WA, Streit J, Joseph-Ridge N. Febuxostat compared with allopurinol in patients with hyperuricemia and gout. N Engl J Med 2005;353:2450-2461.
  • 26. Son MJ, Jin C, Lee YS, Lee JY, Kim HJ. Characterization of caffeoylglucoside derivatives and hypouricemic activity of the ethyl acetate fraction from Aster glehni . Bull Korean Chem Soc 2015;36:503-512.
  • 27. Duni A, Liakopoulos V, Rapsomanikis KP, Dounousi E. Chronic kidney disease and disproportionally increased cardiovascular damage: does oxidative stress explain the burden. Oxid Med Cell Longev 2017;2017:9036450.
  • 28. Lonn E, Bosch J, Yusuf S, Sheridan P, Pogue J, Arnold JM, Ross C, Arnold A, Sleight P, Probstfield J, Dagenais GR; HOPE and HOPE-TOO Trial Investigators. Effects of long-term vitamin E supplementation on cardiovascular events and cancer: a randomized controlled trial. JAMA 2005;293:1338-1347.

Download Citation

Download a citation file in RIS format that can be imported by all major citation management software, including EndNote, ProCite, RefWorks, and Reference Manager.

Format:

Include:

Hypouricemic Effect of Ethanol Extract of Aster glehni Leaves in Potassium Oxonate-Induced Hyperuricemic Rats
Clin Nutr Res. 2018;7(2):126-135.   Published online April 24, 2018
Download Citation

Download a citation file in RIS format that can be imported by all major citation management software, including EndNote, ProCite, RefWorks, and Reference Manager.

Format:
Include:
Hypouricemic Effect of Ethanol Extract of Aster glehni Leaves in Potassium Oxonate-Induced Hyperuricemic Rats
Clin Nutr Res. 2018;7(2):126-135.   Published online April 24, 2018
Close

Figure

  • 0
  • 1
Hypouricemic Effect of Ethanol Extract of Aster glehni Leaves in Potassium Oxonate-Induced Hyperuricemic Rats
Image Image
Figure 1 Effect of EAG on liver histology in PO-induced hyperuricemic rats. (A) Normal group, (B) hyperuricemia group induced by PO (250 mg/kg b.w.), (C) allopurinol (50 mg/kg b.w.) + PO, (D) EAG (50 mg/kg b.w.) + PO, (E) EAG (100 mg/kg b.w.) + PO, (F) EAG (200 mg/kg b.w.) + PO. All images were captured at 100× magnification.EAG, ethanol extract of Aster glehni leaves; PO, potassium oxonate.
Figure 2 Effect of EAG on serum uric acid levels in PO-induced hyperuricemic rats. Data represent mean ± standard deviation of 3 independent experiments performed in triplicate.EAG, ethanol extract of Aster glehni leaves; PO, potassium oxonate.*,†,‡,§Values not sharing a common superscript vary significantly (p < 0.05) from each other.
Hypouricemic Effect of Ethanol Extract of Aster glehni Leaves in Potassium Oxonate-Induced Hyperuricemic Rats
Table 1 Quantification of total phenolic and flavonoid contents in EAG

Data are the mean ± standard deviation of 3 separate experiments.

EAG, ethanol extract of Aster glehni leaves; mg GAE/g, milligrams of gallic acid equivalents per gram of EAG; mg QE/g, milligrams of quercetin equivalents per gram of EAG.

Table 2 Free radical scavenging activities of EAG and Trolox by DPPH assay

Data represent mean ± standard deviation.

EAG, ethanol extract of Aster glehni leaves; DPPH, 2,2-diphenyl-1-picrylhydrazyl; IC50, 50% inhibitory concentration.

Table 3 Inhibitory effect of EAG on XO activity in vitro

Data represent mean ± standard deviation.

EAG, ethanol extract of Aster glehni leaves; XO, xanthine oxidase; IC50, 50% inhibitory concentration.

Table 4 Average body weights and levels of serum biochemical parameters (GOT, GPT, and BUN) in PO-induced hyperuricemic rats treated with EAG

Data represent mean ± standard deviation.

GOT, glutamic oxaloacetic transaminase; GPT, glutamic pyruvic transaminase; BUN, blood urea nitrogen; PO, potassium oxonate (250 mg/kg b.w.); EAG, ethanol extract of Aster glehni leaves; DPPH, 2,2-diphenyl-1-picrylhydrazyl; IC50, 50% inhibitory concentration.

Table 5 Effect of EAG and allopurinol on liver XO activity in PO-induced hyperuricemic rats

Data represent mean ± standard deviation.

EAG, ethanol extract of Aster glehni leaves; XO, xanthine oxidase; PO, potassium oxonate (250 mg/kg b.w.).

*,†,‡,§,∥Values not sharing a common superscript vary significantly (p < 0.05) from each other.